看激光如何在医疗领域大放异彩
自1960年美国人Maiman制成第一台红宝石激光器以来,人们都一直在寻找激光的可用武之地,在科学家的不懈努力之下,已经在切割领域得到了非常广泛的应用,但激光的能力绝不仅限与此。医生们及相关科技工作者通过对比激光和其他医疗光源后发现,激光还有望在医学领域大放异彩,于是针对这一应用,科学也对此做了大量的工作及研究。
开端
1961年8月,纽约大学的Milton M. Zaret等人报道了第一项关于用红宝石激光在兔的虹膜和视网膜上造成眼部损伤的研究,在研究中发现激光能量可以以校准的脉冲形式传输,并以较小的增量进行调整,以达到期望的损伤水平。
激光引起了几位视网膜专家的兴趣,他们看到了激光在临床应用的潜力,以及认识到改进传输和更好地控制光-组织相互作用的必要性,其中就有工作于哥伦比亚长老会医疗中心(现纽约长老会/哥伦比亚大学医学中心)的Charles J. Campbell(当时属于爱德华·哈克尼斯眼科研究所),在同一年11月22日,他与美国光学公司代表 Charles Koester 博士一起合作,利用红宝石激光器消除了患者的视网膜肿瘤。
虽然当时人们对医疗应用的兴趣非常浓厚,但由于难以控制激光能量的输出和传递以及对这些红色和红外波长的吸收相对较差,导致早期实验结果不一致且令人失望。
为了解决这些问题并使激光可以更好的应用于医学领域当中,Leon Goldman博士等先驱开始研究激光与生物系统的相互作用,以及对人类的早期临床研究。
1963年,Goldman博士同样利用红宝石激光器祛除了皮肤上的纹身,并发表了关于激光束对皮肤影响的研究,后又创立了美国激光医学学会,于1979年在慕尼黑光电子会议上,被正式授予“激光医学之父”的称号。
在接下来的几年里,红宝石激光以及其他类型激光被用于各种医学治疗。除了继续应用于眼科外,还将其应用于治疗癌症、皮肤科和胃肠病学等领域范围。
眼科
从历史上看,眼科是第一个应用激光的医学领域。几十年来,激光在眼科中的使用已成功显示出治疗各种眼部疾病的有效和安全结果。
● 屈光外科手术 ●
对于眼科激光应用领域而言,视力矫正(即屈光外科手术)是我们现在接触最多也是最熟悉的方向。事实上,以重塑角膜的方式进行视力矫正的想法可以追溯到1896年,当时荷兰的Lendeer Jans Lans等人提议使用穿透性角膜切口来矫正散光;1948年,Waclaw Szuniewicz教父在耶鲁大学尝试进行改变角膜曲率的手术方法,他是第一个尝试改变角膜形状的人。但传统对角膜曲率进行更改的方法都会对眼睛带来较大的伤害,直到激光器发明后,研究人员马上意识到可以将其应用于屈光外科手术中。
1970年,Basov, V.A. Danilychev和 Yu. M. Popov在莫斯科P. N.列别捷夫体育学院成功研发了准分子激光器,这种激光器在受到电激发时,气体混合物会发出高能的紫外线脉冲,并可以使受辐射的材料发生非常微小且精确的变化。
在这一启发下,Thomas J. Watson研究中心的三名研究人员Samuel Blum、Rangaswamy Srinivasan 和 James J. Wynne于1973年开始研究193 nm氟化氩准分子激光器在材料加工中的应用,他们发现这种激光可以高精度地烧蚀有机聚合物,而且没有明显的附带伤害。
1981年,三人将火鸡软骨置于193 nm的激光束下观察到了比较清晰的微坑,这种激光比其他激光产生的微坑都要干净,且损伤较小,这些结果被提交到Science发表,但遭到了拒绝,理由是这种辐射有可能致癌,随后,他们在行业期刊Laser Focus上发表了相关结果。
在结果公布后,哥伦比亚大学的Steven Trokel和F.L‘Esperance Jr也开始对准分子激光消融重塑角膜表面进行研究,并在放射状角膜切开术中使用193 nm激光替代原有手术刀,可以将精度提升到0.2 µm左右。1983年夏天,Trokel访问了Thomas J.Watson研究中心,并与Srinivasan和B.Braren合作对已经摘除的眼睛角膜进行了照射,其结果显示在角膜处产生了非常干净的切口,且不会对其他部位造成损伤。
同年12月,Trokel、Srinivasan和Braren等人在眼科杂志上发表了一篇论文,介绍了使用激光重塑或雕刻角膜以矫正屈光不正(例如近视或远视)的想法,并启动了一项全球研究计划,以开发基于准分子激光的屈光手术。1987年,Trokel医生对患者成功进行了世界上第一次屈光性角膜切除术(PRK)。
1991年,Pallikaris等人对激光屈光手术进行了改建,提出了一种名为激光辅助原位角膜磨镶术(LASIK),消除了角膜上皮恢复缓慢且不适的问题。Stephen Slade 博士和他的科学同事 Stephen Brint 博士是美国第一批进行LASIK手术的眼科医生。
尽管准分子激光是在1970年代初期开发的,并在80年代初期改进为眼科使用,但美国食品和药物管理局(FDA)直到1995年才批准将其用于PRK矫正眼科手术中。1996年,第一台用于眼科屈光手术的准分子激光器在美国获得批准。同年,LASIK的初始临床试验获得FDA批准。
1997年,从事飞秒激光研究的生物医学工程师Tibor Juhasz博士开始考虑其医疗作用,但直至2001年,美国FDA才批准了第一台用于LASIK的飞秒激光器——IntraLase激光器,IntraLase Inc.后来还推出了该激光器的几种具有先进功能的新型号,并将其进行商业化成为现在家喻户晓的屈光外科手术技术之一。

飞秒激光在LASIK手术期间创建角膜瓣的图示
● 白内障手术 ●
激光除了在屈光手术中具有独特的地位,在继发性白内障的治疗中也发挥了重要的作用。自1974年莫斯科I. M. Pirogovskaja第二医学研究所的Krasnov首次将纳秒激光引入到眼科后,这种白内障手术相关的出血和感染等潜在并发症就有望避免了,而且这种技术还代表了非线性激光-组织相互作用在眼科的第一次应用。
1977年,瑞士眼科中心的Fankhauser首次将这一机制应用于虹膜中,1979年,法国眼科医生Daniele Aron-Rosa在此基础上将其成功应用于白内障手术(后囊膜切开术)中,正式开始了激光白内障手术的发展之路。
此外,由于皮秒和飞秒激光具有较低的介电击穿阈值能量,可以最大程度上减少空泡体积以及相关的组织损伤,因此白内障激光手术也在朝着飞秒激光的方向前行,2010年,美国FDA正式批准了飞秒激光辅助白内障手术(FLACS),该激光技术可以在白内障摘除手术中提供更精细和可预测的结果。

飞秒激光辅助白内障手术计算机操作界面
皮肤科
除眼科外,另一个最早的激光医学应用便是皮肤科,自1960年激光发明仅一年的时间,Goldman博士就开始研究如何使用红宝石激光去除皮肤上的葡萄酒色斑、胎记以及黑色素瘤等皮肤问题;1963年,Goldman博士同样利用红宝石激光器祛除了皮肤上的纹身,并发表了关于激光束对皮肤影响的研究;随后他通过实验证明了使用较短的50 ns红宝石激光脉冲来去除纹身具有更好的特异性,但直至1989年,红宝石激光治疗纹身才获得FDA的正式批准。

激光去除疤痕示意图
由于最初开发的激光系统数量较少,医用激光的临床应用受到严重限制。然而,随着更多激光器的出现,其临床应用的进展也在于其并行前进。
1968年,Goldman博士报告了利用氩激光器在皮肤病治疗方面的临床激光研究。在此基础上,人们为了提高临床疗效和降低氩激光治疗鲜红斑痣后出现瘢痕的概率,提出了一系列的改进措施,但这种概率依然在5%~10%之间,其中整形外科医生Joel Noe博士建议先利用激光照射不明显部位的小块区域,然后在4个月后对其结果进行评估;1981年,来自 Beth Israel 医院Kenneth A. Arndt M.D.等人对医用激光术语以及治疗参数进行了标准化,并被认为是降低治疗后增生性瘢痕风险的一种方法。
尽管氩激光在治疗许多血管病变方面比老式疗法有许多优点,但由于其与氧合血球蛋白相互作用的特异性相对较差,其潜在的实用性被降低。这是由于氩激光发射的大部分能量发生在氧合血红蛋白吸收光谱的低谷,从而导致非特异性热损伤对非血管结构的损伤。
此外,蓝绿色的氩激光也会被黑色素吸收,当氩激光穿过表皮到达真皮血管时,黑色素会对表皮造成伤害。这不仅会减少到达血管的氩激光能量,还会导致水泡形成和随后的结皮。
为了解决这一问题,科研人员通过研究发现通过使用波长与血红蛋白的主要吸收峰之一相匹配的激光,可以提高激光-组织相互作用治疗血管的特异性。577 nm处的吸收峰代表黄光,提供了更高的特异性,减少了黑色素的吸收,并允许更深地渗透到皮肤中。因此,几种不同类型的黄光激光被开发出来,用于治疗皮肤的血管病变。
20世纪80年代初, Adrianna Scheibner博士在澳大利亚完成了第一项使用黄光波段的氩染料激光器的工作,采用极其细致且繁琐的技术,成功治疗葡萄酒斑内的单个血管,且该技术在儿童身上也能取得很好的效果。
1981年,哈佛大学Wellman实验室的John Parrish博士和R. Rox Anderson博士,采用577或585 nm闪光灯泵浦的脉冲染料激光器对血管病变位置进行治疗,该系统与氩染料激光器的显着不同之处在于,它只以大约450微秒长的短脉冲的形式释放能量,最大限度的提高了治疗血管病变的精确度,并以此引申了一个极其重要的理论概念——选择性光热效应。

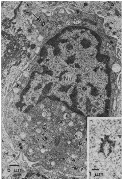
利用激光照射含黑色素皮肤细胞后的电子显微照片(源于1983年,John Parrish等人在Science中提出选择性光热效应的论文图示)
1987年,Goldman博士再次负责了使用铜蒸气激光器治疗血管病变的一些早期工作,这种激光器的出射波长一般为578 nm的黄光,重复频率为15000 Hz,脉冲时间仅为20~40 ns,且还可以产生一条被黑色素吸收的绿光波段,被批准可用于治疗良性色素性病变和人类乳头瘤病毒感染中。
与此同时,随着激光器的波长逐渐由可见光转向不可见光,研究人员发现不可见的激光对皮肤科的临床应用更有价值。首先,人们将目标集中在了近红外波长的Nd:YAG激光器上,但其波长为1064 nm,不会被皮肤内的黑色素和血红蛋白选择性的吸收,同时也不会被细胞内和细胞外的水分明显吸收,这是其穿透效果较深,严重限制了这种激光系统在皮肤科的潜在应用。但正是这种缺点使其可以用于软组织的切割中,甚至可以用于手术切除增生性毛细血管瘤中。
随后,人们又把目光转移到了CO2激光器上,他的发射波长同样为1060 nm,但与Nd:YAG激光器不同的是,这种激光的能量可以被细胞内外的水分准确吸收,可以在几乎不流血的条件下对活体组织进行切割,也可以以散焦、低功率的操作模式来使组织表面发生汽化。
1978年,Elizabeth McBurney博士报告了她使用二氧化碳激光治疗多种不同皮肤病的临床经验。
1980年,俄亥俄州克利夫兰市克利夫兰诊所基金会皮肤病学系主席Phil Bailin博士和同事John Ratz博士与克利夫兰诊所基金会耳鼻喉科和交流障碍科的专职医师Howard L. Levine M.D.共同发表了他们使用CO2激光器去除纹身的结果。
1984年,俄克拉荷马大学的Ron-ald Wheeland博士发表了他使用CO2激光汽化模式治疗面部肉芽肿的临床经验,此后三位皮肤科医生在克利夫兰临床基金会联合发表了许多关于有效利用CO2激光器进行切口和汽化的文章。至此,CO2激光器被作为治疗各种疾病的有效手段被普遍接受,且目前已被确立为最重要的激光系统之一,供皮肤科医生以及其他医学领域的科研人员开发使用。

早期CO2激光器去除纹身的前后对比图
激光医疗“未来可期”
自1961年以来,激光在医疗领域的应用就不断被开发和优化,除了最开始的眼科与皮肤科之外,还可以将其应用于其他更多、更广泛的领域:在20世纪90年代初期,激光被用于微创手术(MIS)中,并被用作医院最先进的手术设备中的手术工具,可以以温和且极具针对性的方式处理组织,而不会损坏周围区域;1994年,哈佛医学院的Richard Rox Anderson 博士和医生Melanie Grossman博士发表了他们的第一篇关于人类受试者激光脱毛的论文,并于1997年获得FDA的批准;1997年,FDA批准了第一台真正的牙齿硬组织微创器械:Er:YAG激光器。
总之,目前激光已经走进了医疗的众多领域,对激光治疗多种疾病以及对非侵入性治疗的需求不断增加,是现阶段市场增加的重要因素。
根据Fortune Business Insights的一份题为“Medical Laser Market Size, Share & COVID-19 Impact Analysis, 2020-2027(医疗激光市场规模、份额和COVID-19影响分析报告,2020-2027)”表示:2019年全球医疗激光市场规模为43.7亿美元,预计到2027年将达到105.7亿美元,预测期内复合年增长率为13.9%。未来必将成为激光应用的重要领域之一,然而激光除了医学和制造业等传统应用外,在高科技的新领域是否也有用武之地呢?
来源:光电汇
1.https://www.premiumtattooremoval.com/laser-tattoo-removal/introduction-to-laser-in-medicine
2.https://spie.org/news/spie-professional-magazine-archive/2011-january/lasers-in-medicine?SSO=1
3.https://www.lasercomponents.com/de-en/news/how-lasers-got-their-start-in-medical-technology/
4.Lasers in cardiovascular medicine and surgery: fundamentals and techniques[M]. Springer Science & Business Media, 2012.
5.Palanker D V, Blumenkranz M S, Marmor M F. Fifty years of ophthalmic laser therapy[J]. Archives of ophthalmology, 2011, 129(12): 1613-1619.
6.Wheeland R G. History of lasers in dermatology[J]. Clinics in dermatology, 1995, 13(1): 3-10.
-
- 2023-02-09
- 2023-07-20
- 2022-12-05
- 2022-10-11
- 2023-02-10
- 2022-10-22
- 2023-02-10
- 2021-09-18


